Invisalign at SmileWorks

A Clear Path to Your

Most Confident Smile

invisalign
invisalign

Platinum Elite Provider


Imagine achieving a beautifully aligned smilewithout metal braces, pain, or self-consciousness.


At SmileWorks Dental Care Jakarta, we bring you Invisalign®, the world’s leading clear aligner system, designed for those who value comfort, aesthetics, and precision.


Every smile is unique, and so is your treatment. 

Our Invisalign-certified dentists use 3D digital scanning technology and personalized treatment planning 

to move each tooth with millimeter accuracy.

invisalign-provider

Why Choose Invisalign
at SmileWorks

Virtually invisible

Discreet even in professional settings

removable

Comfortable and removable for easy eating and cleaning

digital simulation

A short description of the benefit.

monitored by specialists

Predictable, precise, and monitored by specialists

Precision Meets Aesthetics

At SmileWorks, Invisalign isn’t just about straight teeth, it’s about harmony, balance, and confidence.

Patient Testimonials

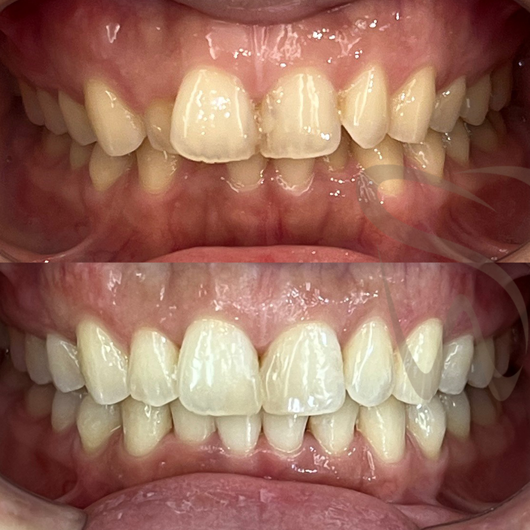
After wearing Invisalign, I can already see the changes taking shape. My teeth are moving into better alignment, and my smile looks more balanced each day.


I’m really glad I trusted SmileWorks Dental Care the process has been smooth, comfortable, and guided by experts who truly care about the details.

Davin, Cross Bite Patient

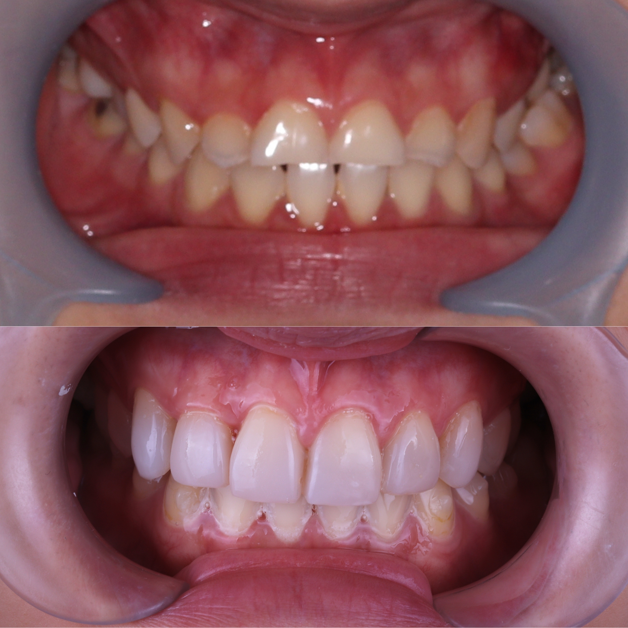
Sekarang setelah pakai Invisalign, perubahannya mulai kelihatan, posisi gigi makin rapat dan senyumku terlihat jauh lebih natural dari sebelumnya.


Aku senang banget bisa percayain perawatanku ke SmileWorks Dental Care. Prosesnya nyaman, jelas, dan tiap langkahnya selalu didampingi dokter yang berpengalaman.

invisalign-smileworks
Melati Sessilia, exJKT 48

Start Your Invisalign Journey

Exclusive Invisalign Offer  Limited Time Only